Northwood student scientists assess two techniques for quantifying ovule fertilization in Echinacea angustifolia

Dear Northwood 7th graders,

I had a great time visiting your science classes on Friday. Thanks for inviting me.

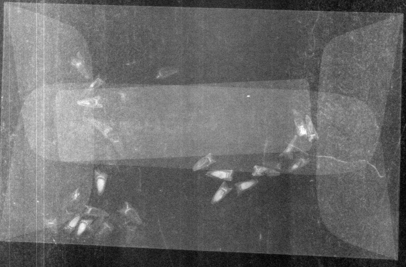
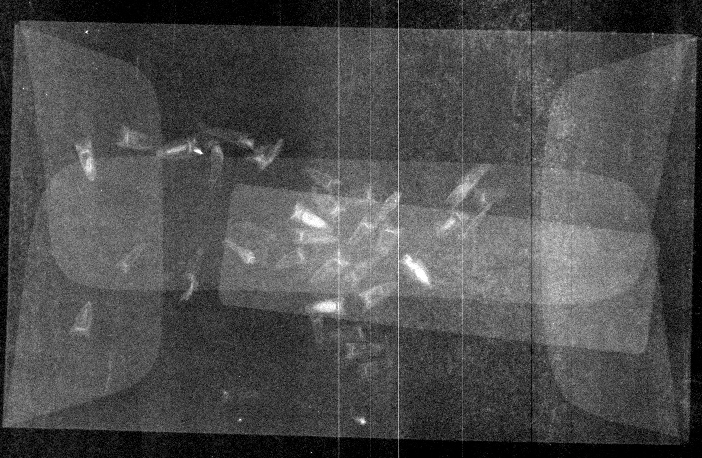
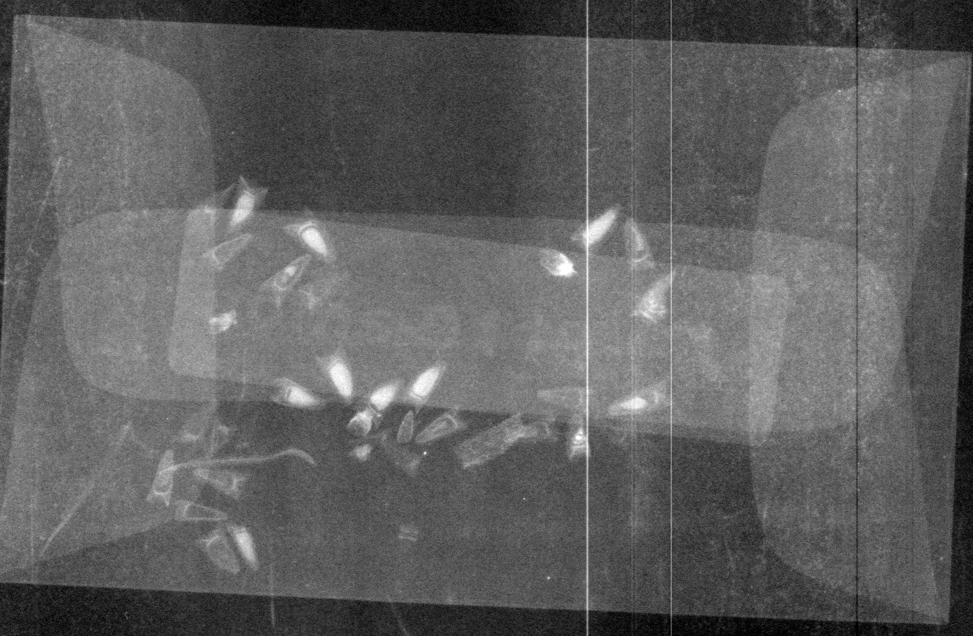
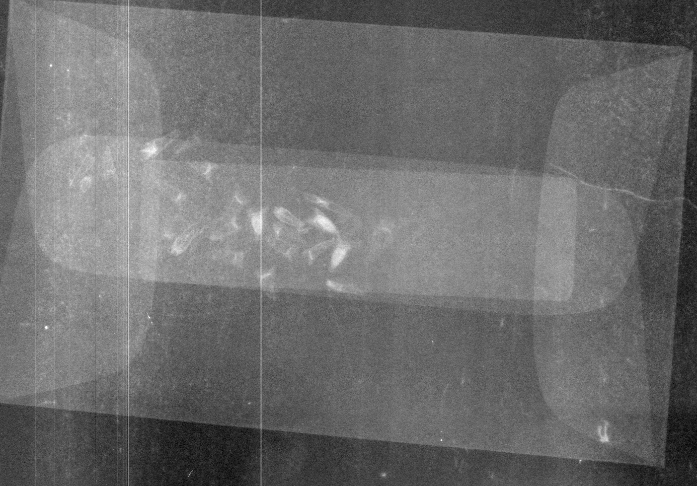
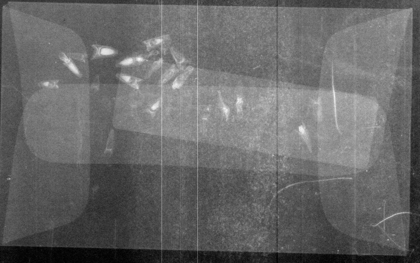
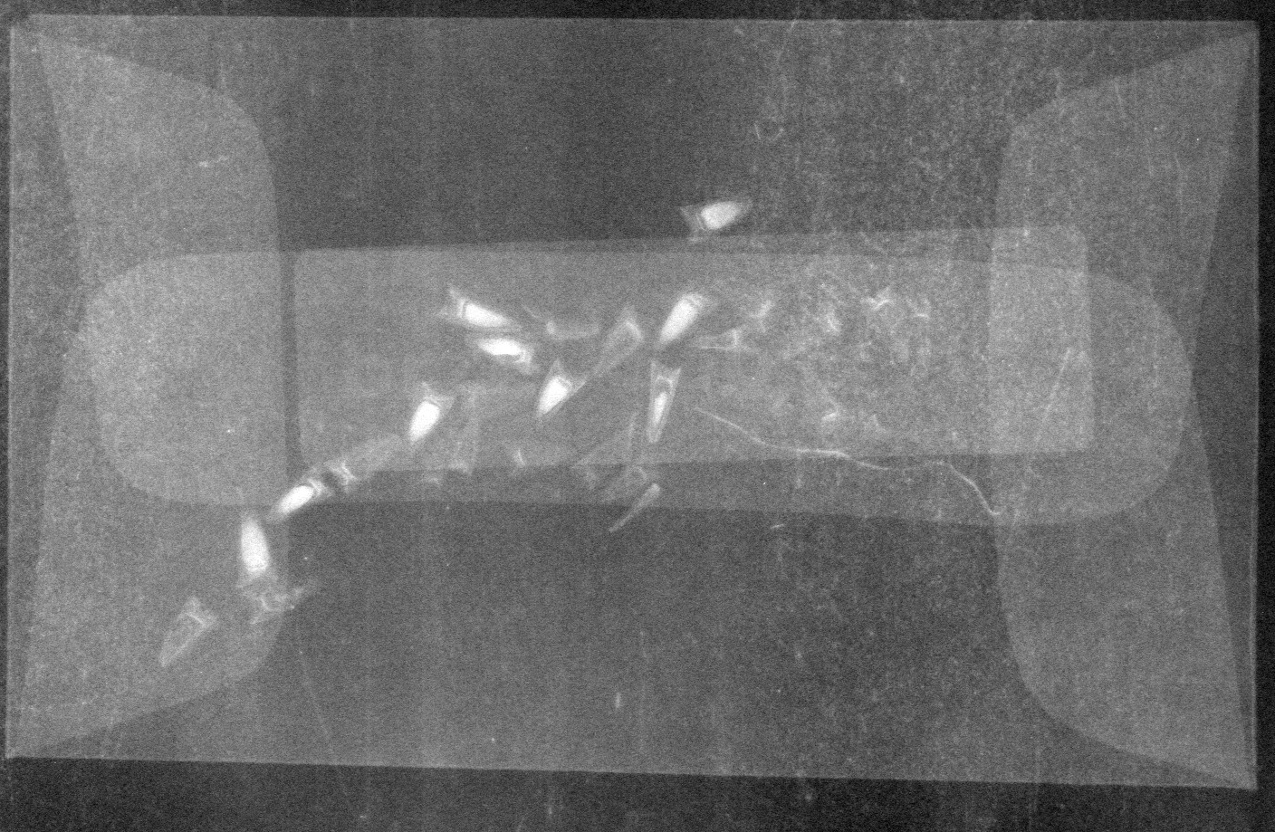
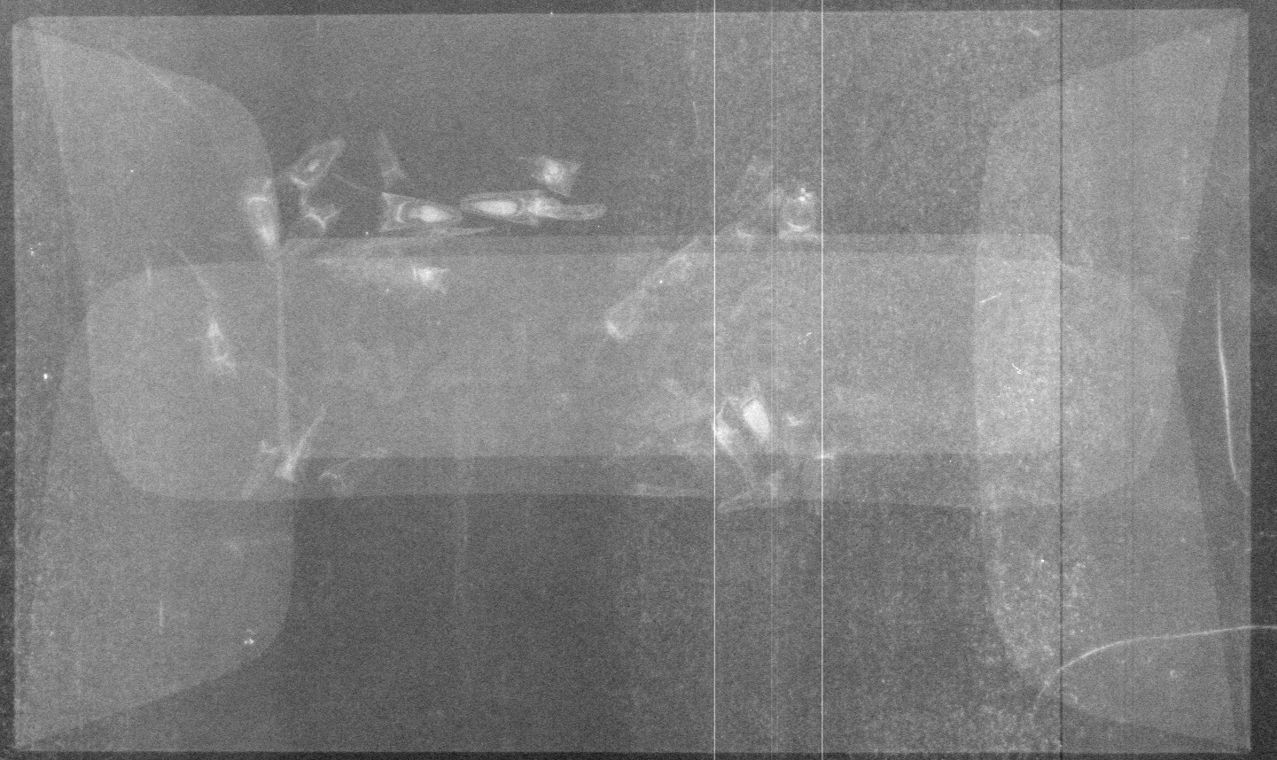
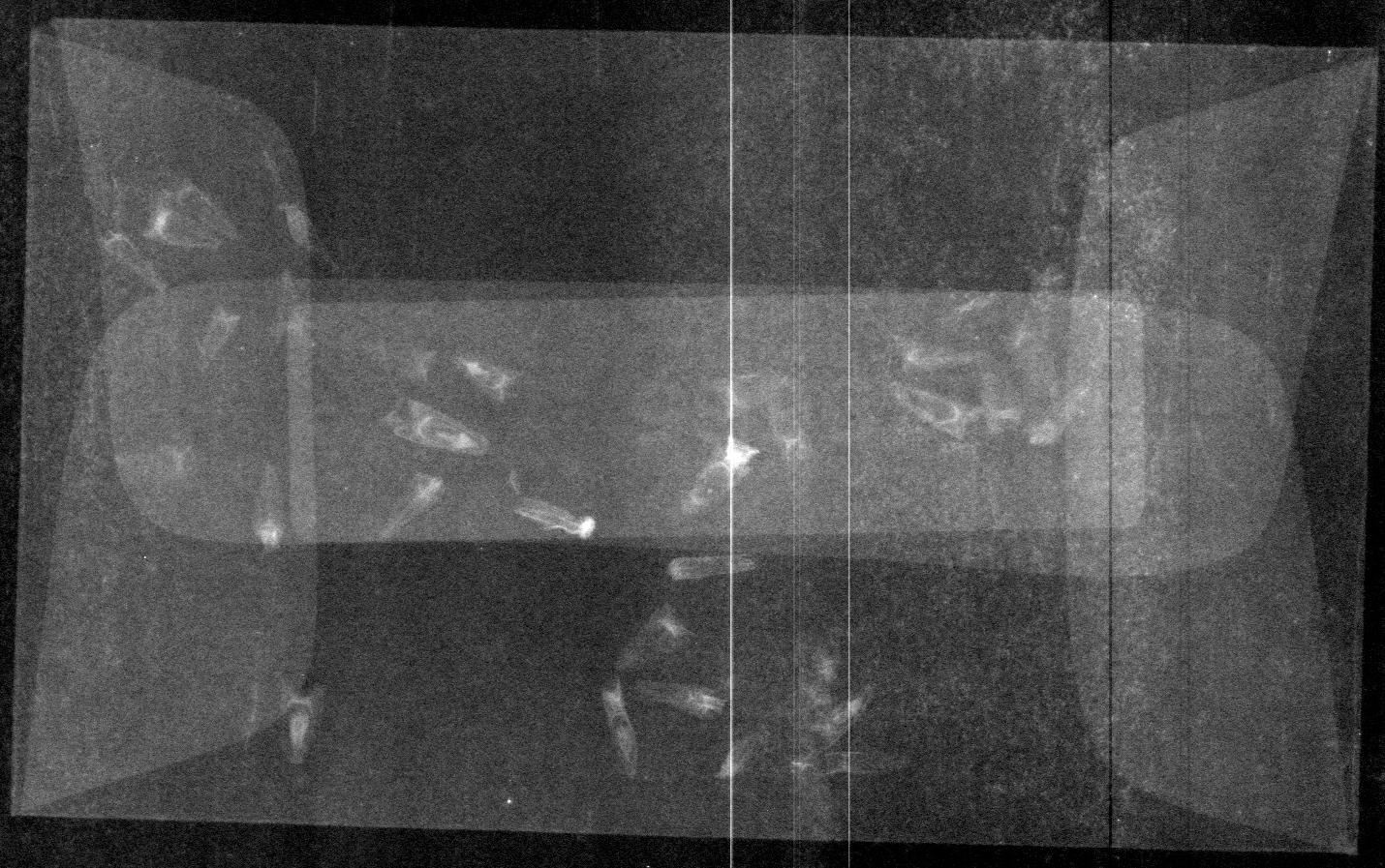
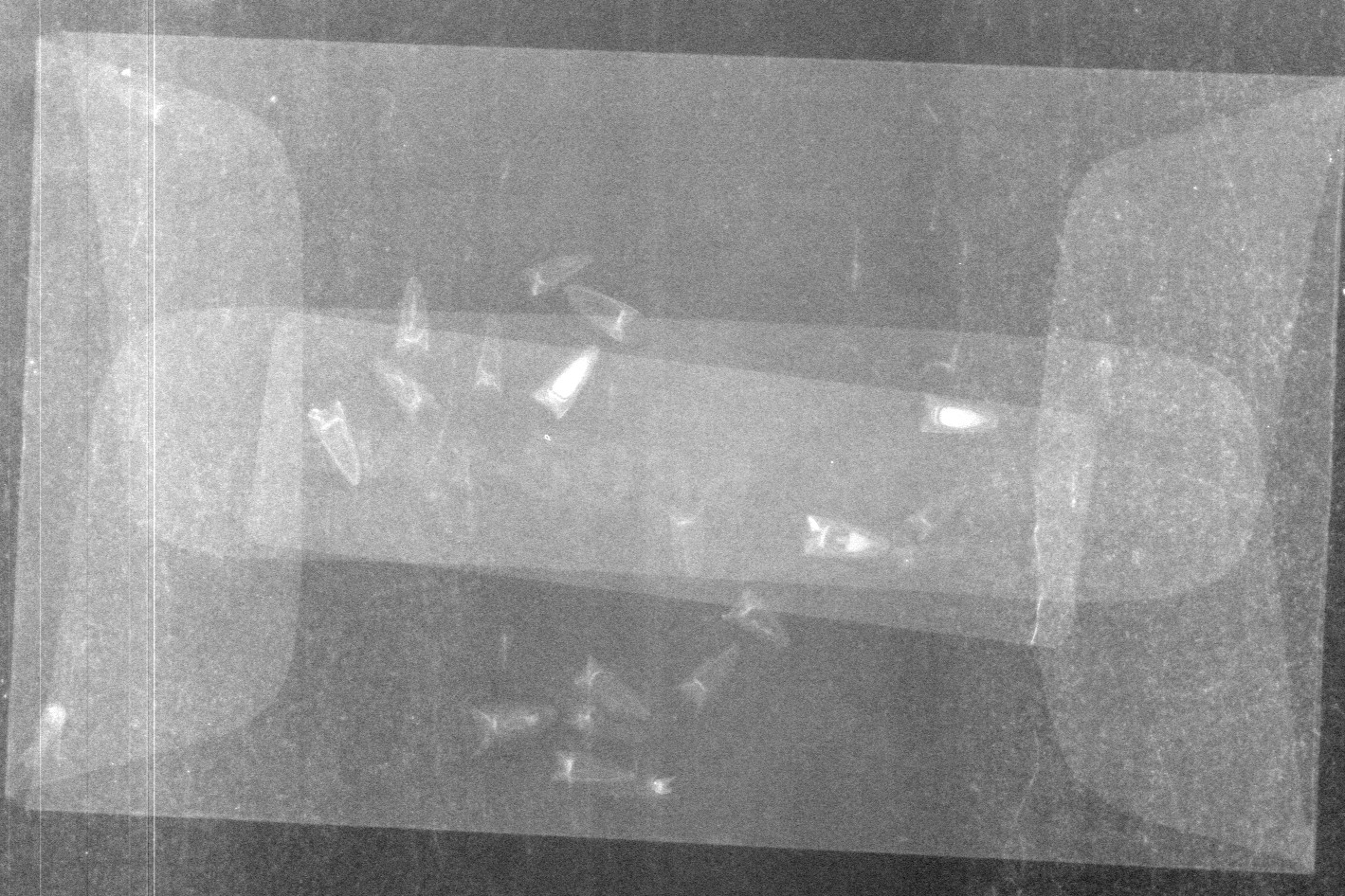
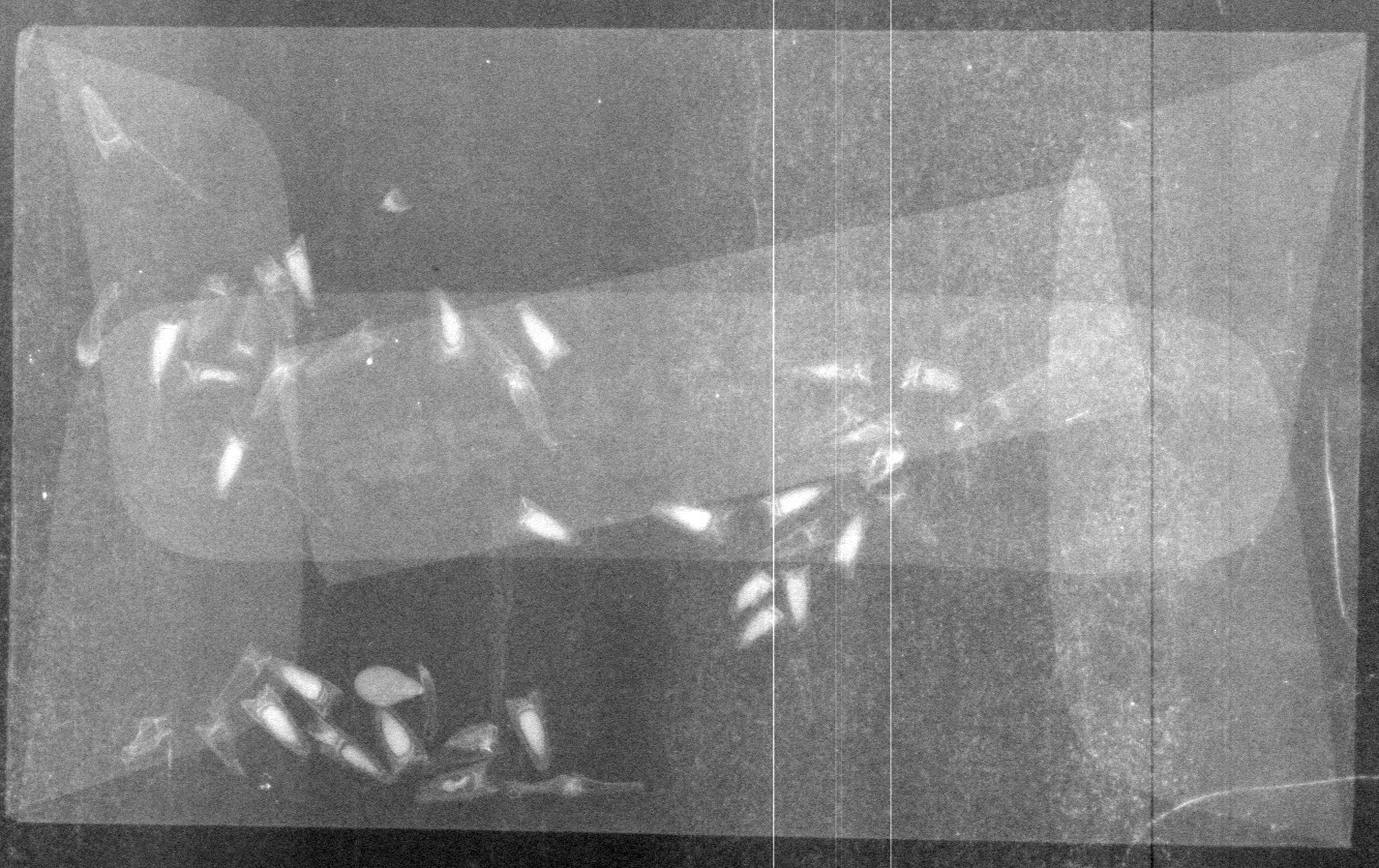
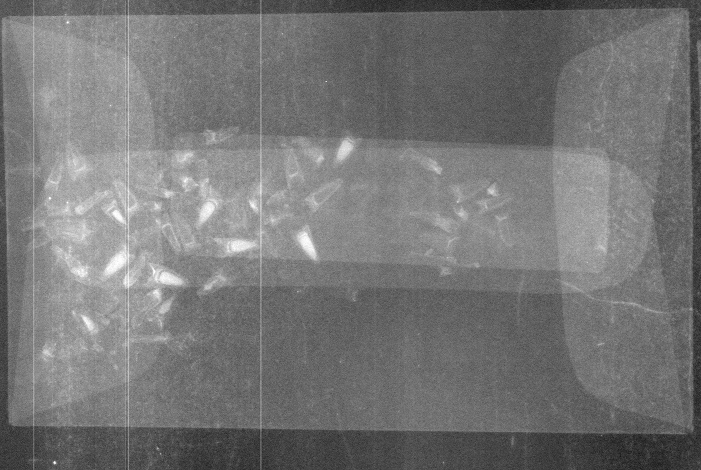
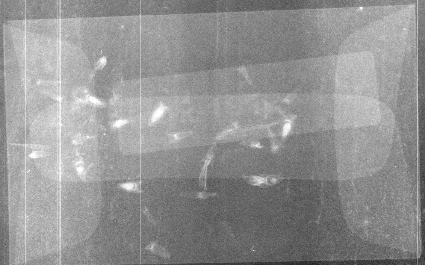
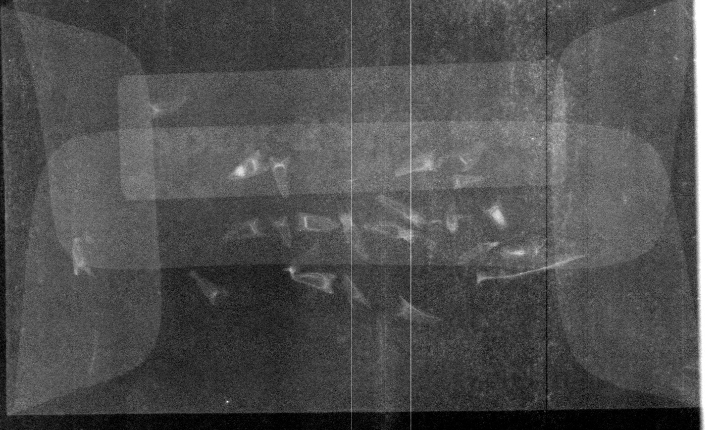
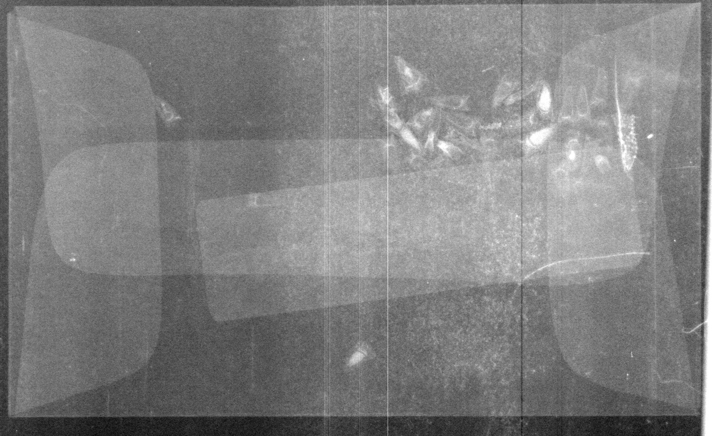
This page has links to x-ray images of 79 envelopes. Each envelope has about 30 fruits in it. Your job is to count the full and empty fruits in each envelope. Some envelopes are going to be easier to count than others. Sometimes you won't be sure if something is a fruit or whether a fruit is full or empty--do the best you can!

After you count the full and empty fruits in each envelope, calculate the percentage of full fruits and speculate whether they came from a plant in a good pollination environment or a bad pollination environment. We want you to count without knowing the actual environment, so it won't bias your counting. After everyone is done counting, Mr. Middendorf and Mr. Caņo will let you know which environment each envelope came from.

We are also going to compare your counts from the x-ray images with your counts from the push test. We are curious to see how closely the results match. Mr. Middendorf and Mr. Caņo are going to organize all the data from all classes and let me know. Please count and enter data as carefully as you can!

I really appreciate you helping me with this project.

Thanks!
Stuart

Images from the X-ray machine